Ascultă Radio România Constanța Live

Intervenție chirurgicală în PREMIERĂ la Spitalul Județean CONSTANȚA

Intervenție chirurgicală în PREMIERĂ la Spitalul Județean CONSTANȚA

Publicat de , 12 aprilie 2017, 16:28

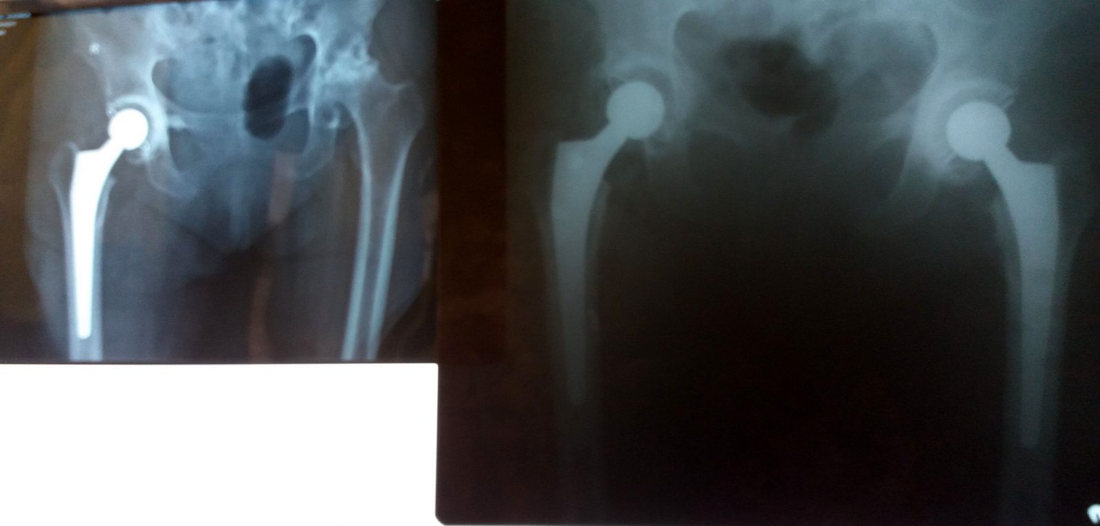
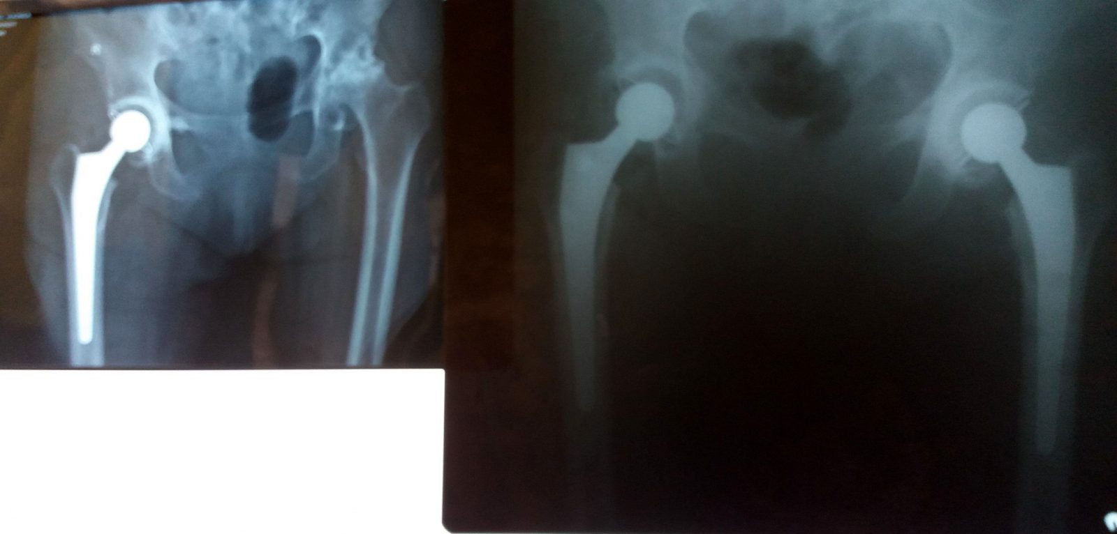
Medicii secției Ortopedie-Traumatologie din cadrul Spitalului Clinic Județean de Urgență “Sf. Apostol Andrei” Constanța au efectuat, în premieră, mai multe intervenții minim invazive pentru proteza de șold.

Abordul minim invaziv practicat în artroplastia totală de şold este o intervenție mai eficientă față de abordul clasic, sângerarea minimă și păstrarea intactă a mușchilor, care nu sunt secționați, fiind câteva dintre avantajele care duc la o recuperare rapidă și, implicit, o perioadă redusă de spitalizare, spun medicii spitalului.

Până acum, la SCJU “Sf. Apostol Andrei” Constanța au fost efectuate patru intervenții de acest gen, ultimul pacient fiind o femeie în vârstă de 75 de ani, căreia i-au fost montate două proteze de șold în cadrul aceleiași internări, perioada de spitalizare fiind de maximum zece zile. Intervențiile minim invazive cu abord anterior pentru proteza de șold sunt efectuate la SCJU, în momentul de față, doar de către dr. Băjenescu Titi Marian și dr. Alexandru Șerban, medicul șef al secției Ortopedie-Traumatologie.

FPIOR: România este și în acest an o destinație vedetă la Târgul de Turism din Kazahstan
Ştiri miercuri, 22 aprilie 2026, 18:41

FPIOR: România este și în acest an o destinație vedetă la Târgul de Turism din Kazahstan

România este și în acest an o destinație vedetă la Târgul de Turism din Almaty, Kazahstan, întrucât reprezintă poarta de intrare către o...

FPIOR: România este și în acest an o destinație vedetă la Târgul de Turism din Kazahstan
TULCEA: Șofer beat scos din trafic de polițiști
Ştiri miercuri, 22 aprilie 2026, 17:53

TULCEA: Șofer beat scos din trafic de polițiști

Pe 21 aprilie 2026, în jurul orei 10:25, polițiștii din cadrul Serviciului Rutier – Biroul Drumuri Naționale și Europene au depistat în...

TULCEA: Șofer beat scos din trafic de polițiști
NĂVODARI: Dispar 25 de posturi din primărie
Ştiri miercuri, 22 aprilie 2026, 17:49

NĂVODARI: Dispar 25 de posturi din primărie

Consiliul Local Năvodari a aprobat miercuri reorganizarea aparatului de specialitate al primarului orașului, în conformitate cu reglementările...

NĂVODARI: Dispar 25 de posturi din primărie
Bibliotecarii constănțeni au dus cărți, iubire și povești bunicilor din căminele din județ
Ştiri miercuri, 22 aprilie 2026, 17:04

Bibliotecarii constănțeni au dus cărți, iubire și povești bunicilor din căminele din județ

În căminele de bătrâni sunt mulți oameni cu o viață ca în filme, au construit familii, au iubit, au pierdut și au câștigat. Sunt bunici cu...

Bibliotecarii constănțeni au dus cărți, iubire și povești bunicilor din căminele din județ
Ştiri miercuri, 22 aprilie 2026, 16:50

ISJ Constanța despre cazul profesorului din Cernavodă, arestat pentru viol asupra unei minore

Inspectorul Școlar General al ISJ Constanța, Claudia Portase, a oferit un punct de vedere oficial referitor la cazul unui profesor din Cernavodă,...

ISJ Constanța despre cazul profesorului din Cernavodă, arestat pentru viol asupra unei minore
Ştiri miercuri, 22 aprilie 2026, 16:13

PSD: Miniștrii social-democrați își dau demisia din Guvern joi dimineață (surse)

Toţi miniştrii de la PSD îşi vor da demisia joi dimineaţă, înainte de şedinţa de Guvern. Totodată, îşi va prezenta demisia şi secretarul...

PSD: Miniștrii social-democrați își dau demisia din Guvern joi dimineață (surse)
Ştiri miercuri, 22 aprilie 2026, 16:07

Profesorul din CERNAVODĂ acuzat de violul unei minore, arestat

Bărbatul în vârstă de 67 de ani acuzat că a violat o adolescentă a fost arestat preventiv pentru 30 de zile, în baza unei decizii a...

Profesorul din CERNAVODĂ acuzat de violul unei minore, arestat
Ştiri miercuri, 22 aprilie 2026, 15:59

Unele reguli impuse proprietarilor de câini care circulă cu autobuzele CT Bus sunt excesive

Reprezentanții CT Bus au transmis recent o serie de reguli pentru proprietarii de animale de companie care călătoresc cu mijloacele de transport...

Unele reguli impuse proprietarilor de câini care circulă cu autobuzele CT Bus sunt excesive